Human Adipose Tissue-Derived preadipocytes are a type of cells isolated from belly fat from liposuction and/or resected fat from human tissue. They are the fat cell precursors with the well-studied ability to differentiate into mature adipocytes. Some studies have also pointed at them as precursors to osteoblasts, chondrocytes, and myocytes. Kosheeka Normal Human Adipose Tissue-Derived […]
Available Format: Proliferating: ≥1000000 cells Cryopreserved: A cryopreserved in suitable medium along with DMSO.
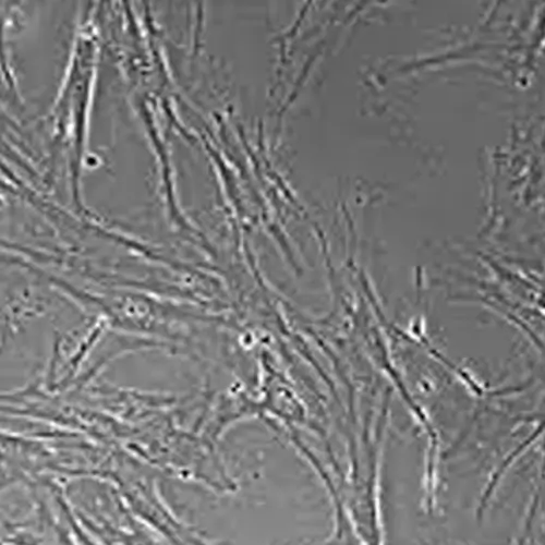
Human Adipose Tissue-Derived preadipocytes are a type of cells isolated from belly fat from liposuction and/or resected fat from human tissue. They are the fat cell precursors with the well-studied ability to differentiate into mature adipocytes. Some studies have also pointed at them as precursors to osteoblasts, chondrocytes, and myocytes. Kosheeka Normal Human Adipose Tissue-Derived Preadipocytes are mainly studied as potential tools for in vitro applications like regenerative medicines, tissue engineering, and cosmetic applications. They have been shown to have a range of functional characteristics, such as the ability to secrete a variety of growth factors, cytokines, and extracellular matrix components; especially because of their well-studied proinflammatory and hemostatic functions.
Product Category:
Homo Sapiens, Human
Product Type:
Non-Adherant suspension cells
Drived From:
Adipose tissue collected from visceral fat
Cell Morphology:
Round, light emiting cells
Culture and Growth Properties:
Non-adherent population
Passage No:
P0,
Mycoplasma:
Not Detected
Hepatitis B:
Not Detected
Hepatitis C:
Not Detected
HIV-1:
Not Detected
Bacteria, yeast and other fungi:
Not Detected
Positive for:
CD 31
Negative for:
CD105
The preadipocytes are isolated from the stroma of subcutaneous or visceral adipose tissue. In a lineage-dependent manner, they are predestined to differentiate into adipocytes.
These cells can be differentiated into mature adipocytes, upon treatment with specific growth factors. In an in vitro system, upon the addition of a specific differentiation medium, cells can be differentiated into adipocytes.
Preadipocytes have an adherence property in contrast to their differentiated counterparts. Preadipocytes can be passaged up to passage 4, after which their proliferation capacity gets reduced to a considerable extent. The preadipocytes can be shipped from P1 to P2 while maintaining their proliferation capacity.
On average, the doubling time of preadipocytes is calculated to be between 48-54 hrs, depending upon culture condition and growth supplement. However, it is also very important to keep in mind that the rate of replication of preadipocytes, varies considerably after handling.
The cumulative population doublings are calculated using the seeding density and harvesting density from each type of culture vessel. The cell doubling time is calculated using the formula Doubling Time = Duration * log (2)/ log [Final concentration/Initial Concentration]
The genetic analysis has revealed that mRNA isolated from preadipocytes, while in culture confirms the expression of beta-1 adrenoreceptor and beta-2 adrenoreceptor.
No, preadipocytes do not express leptin, which can be confirmed with the help of genetic analysis. However, upon differentiation to adipocytes, leptin is expressed. The quantitative analysis has confirmed that around 1-5 ng of leptin can be detected within 4 weeks of differentiation to adipocytes.
The source collection is accomplished under the guidelines suggested by the regulatory authorities of India. Before collection, the donor blood is collected to evaluate the presence of certain pathogens, like HIV-1 & 2, HCV, and HBsAg for core and surface antigens, along with Human papillomavirus.
The cells are generally isolated from a single donor; however, custom isolations can be made on demand. The certificate of analysis provided along with the product gives detailed information to the donor including sex, age, and BMI.
We can make to your order
Fascinated with the unlimited potential of adipose tissue-derived mesenchymal stem cells, making them the most preferred choice?